Fillette de 4 ans atteinte de XLH spontanée*
Résumé du cas

Résultats
- Même si la patiente a consulté de nombreux spécialistes, aucun diagnostic concluant n’a pu être établi en 13 mois; après avoir consulté un endocrinologue, la patiente a été orientée vers un néphrologue.
La XLH est avant tout une maladie héréditaire, bien que de 20 à 30 % des cas surviennent de façon spontanée1.
Antécédents de la patiente
18-19 mois : Évaluation en pédiatrie
- Fillette de 18 mois présentant des jambes arquées, une démarche dandinante, un retard de la marche et une faible croissance; peur de grimper les escaliers
- Radiographies : évocatrices d’une dysplasie métaphysaire
- Autres résultats cliniques : strabisme (soupçonné de contribuer au retard de la marche); a subi une intervention chirurgicale de correction du strabisme
28 mois : Évaluation en orthopédie
- Examen physique : petite taille, inférieure au 5e percentile depuis l’âge de 15 mois (voir la courbe de croissance); aggravation de la courbure et de la démarche dandinante
- Radiographies : genu varum bilatéral important accompagné d’une légère déformation en « bec » et d’une légère inclinaison de la métaphyse tibiale proximale; angle métaphyso-diaphysaire de la partie proximale du tibia de 16 degrés (bilatéral); irrégularité de la métaphyse fémorale distale (bilatéral); têtes des fémurs à la bonne place
- Diagnostic différentiel : maladie de Blount, dysplasie métaphysaire ou genu varum physiologique possibles
29 mois : Évaluation en génétique
- Aucun antécédent familial de maladie des os
- Diagnostic soupçonné : dysplasie métaphysaire
- Test génétique de dépistage de la chondrodysplasie métaphysaire de type Schmid et du syndrome de Shwachman-Diamond; résultats négatifs pour la présence de variants pathologiques
- Diagnostic : inconnu; patiente orientée vers une clinique de dysplasie squelettique
31 mois : Évaluation en endocrinologie
- Examen physique : genu varum bilatéral
- Radiographies : coxa vara légère bilatérale, tibia vara (plus importante à gauche qu’à droite) accompagné d’une irrégularité métaphysaire et d’un effritement au niveau de la partie distale du fémur, du tibia et de l’ulna; élargissement des métaphyses au niveau des poignets
- Autres résultats : 2e percentile pour le poids; 1er percentile pour la taille (voir la courbe de croissance)
Diagnostic
Rachitisme hypophosphatémique; résultat positif pour la présence d’une mutation du gène PHEX; résultat négatif chez les parents – hypophosphatémie liée au chromosome X spontanée
En ce qui a trait aux patients atteints de XLH, le processus de diagnostic peut être long et laborieux.
Une orientation vers le spécialiste approprié peut constituer la clé d’un diagnostic précoce de la maladie1,3.
Fille de 15 ans atteinte de XLH spontanée*
Résumé du cas

Résultats
- La santé osseuse est un élément important à prendre en compte avant la fermeture de la plaque épiphysaire
- Peu importe le fournisseur de soins de santé, poser des questions en lien avec la santé mentale demeure un élément important des soins
- La prévention des fractures et la préservation de la santé musculosquelettique sont cruciales
Les symptômes de la XLH ne sont pas spécifiques lorsqu’ils sont pris individuellement et varient d’un patient à l’autre1,3,4. Une orientation vers un spécialiste constitue la clé d’un diagnostic précoce.
Antécédents de la patiente
- Naissance : nouveau-né à terme, aucune anomalie détectée
- 12 mois : signes de douleur lorsque les jambes soutiennent le poids du corps; claudication; jambes arquées à 18 mois
- Antécédents familiaux : rien à signaler
- 30 mois : radiographies : courbures bilatérales accompagnées de métaphyses tibiales et fémorales irrégulières et élargies
- 34 mois : principaux résultats d’analyses de laboratoire à jeun (plage de référence‡)
- Phosphore sérique : 2,4 mg/dl (3,2-6,1 mg/dl)
- 25-hydroxyvitamine D : 39 ng/ml (20-50 ng/ml)
- Phosphatase alcaline : 512 U/L (La limite supérieure de la normale pour les âges de 1 à 15 ans varie de 297 à 385 U/L)
- Calcium sérique : 9,2 mg/dl (de 0 à 2 ans : 9,0-11 mg/dl; de 2 à 16 ans : 8,4-10,3 mg/dl)
- Hormone parathyroïdienne : 85 pg/ml (14-72 pg/ml)
Diagnostic
XLH spontanée
Homme de 49 ans atteint de XLH héréditaire*
Résumé du cas

Résultats
- Le patient n’a pas reçu de diagnostic de XLH avant l’âge de 44 ans
- Il y a un spectre pour la XLH, et les symptômes du patient n’avaient jamais été attribués à la XLH auparavant
- Les symptômes de la XLH ont évolué tout au long de la vie adulte et ont eu des répercussions à long terme. Le patient :
- A nécessité des interventions chirurgicales et subi une intensification de la douleur
- Devait utiliser des aides à la marche
- A subi une perte de l’ouïe
- A eu besoin de prothèses dentaires
Il est important de diagnostiquer la XLH de manière précoce, car la nature évolutive de la XLH fait en sorte que les patients sont vulnérables aux fractures, aux limitations du fonctionnement et à la douleur, en plus d’être susceptibles de présenter une petite taille1.
Antécédents du patient
Pendant l’enfance
- 6 ans : fracture de l’humérus après être sauté d’un camion en mouvement
- Mauvaise dentition (plusieurs caries et abcès au niveau des dents primaires et des dents permanentes)
- 11 ans : signalement d’une « maladie des os » en raison de douleurs osseuses et articulaires chroniques
- Le pédiatre a posé un diagnostic d’arthrite post-streptococcique
- Jambes légèrement arquées; petite taille comparativement aux personnes de son âge
Du début à la mi-vingtaine
- Perte de la plupart de ses dents au début de la vingtaine
- Intensification aiguë des douleurs osseuses et articulaires
- Arthrite inflammatoire soupçonnée
44 ans
- Présentation d’une exacerbation aiguë de la faiblesse et de la coxalgie droite chroniques
- N’a reçu aucun diagnostic antérieur de rachitisme
- Antécédents familiaux
- Petite taille et courbure de la partie inférieure des jambes chez la mère (taille de 4 pi 11 po), trois frères et deux nièces; tous présentaient des fractures multiples
- Examen physique
- Taille : 5 pi 3 po; poids : 230 lb
- Déplacement au moyen d’un déambulateur; genoux en varus
- Douleur accompagnée d’une rotation interne des hanches (pire à gauche qu’à droite); 4/5 pour la force motrice dans les groupes musculaires proximaux et distaux
- Mauvaise dentition (la plupart des dents permanentes sont manquantes)
- Radiographies
- Bassin et hanches : augmentation diffuse de la densité des os, en particulier des ailes de l’ilium et du rachis lombaire; calcification d’enthèses s’étendant bilatéralement à partir de la paroi supérieure de l’acétabulum (voir la radiographie 1); pseudo-fracture sous-trochantérienne droite incomplète le long de la région du cortex médial (voir la radiographie 2)
- Fémur : pseudo-fractures dans la région sous-trochantérienne du fémur droit et vers le centre de la diaphyse du fémur gauche; fracture de fatigue en voie de guérison au niveau du cortex médial du col fémoral gauche; enthésophytes et ostéoporose dans les deux hanches également notées (voir la radiographie 3)
- Résultats d’analyses de laboratoire (voir le tableau)

44 ans : augmentation diffuse de la densité des ailes de l’ilium et du rachis lombaire; calcification bilatérale d’enthèses s’étendant à partir de la paroi supérieure de l’acétabulum.

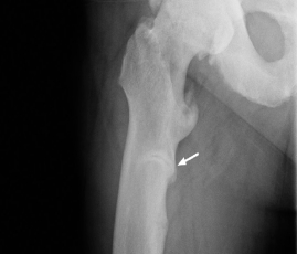
44 ans : pseudo-fracture sous-trochantérienne droite incomplète le long de la région médiale du cortex.

44 ans : pseudo-fractures dans la région sous-trochantérienne du fémur droit et vers le centre de la diaphyse du fémur gauche; fracture de fatigue en voie de guérison au niveau du cortex médial du col fémoral gauche; enthésophytes et ostéoporose dans les deux hanches.
Résultats d’analyses de laboratoire
Dosage (plage de référence unité‡) | 44 ans (résultats) |
Phosphore sérique (2,5-4,5 mg/dl) | 2,1 |
1,25(OH)2D (18-72 pg/ml) | 31 |
25(OH)D (20-50 ng/ml) | 33 |
BSAP (6,5-20,1 mcg/L) | 39,2 |
PTH (14-72 pg/ml) | 95 |
Créatinine (0,7-1,2 mg/dl) | 0,83 |
FGF23 (< 180 UR/ml) |
73
|
Le patient a présenté des signes et des symptômes de la XLH tout au long de son enfance
et de sa vie de jeune adulte, mais il n’a pas reçu de diagnostic avant la mi-quarantaine.
Diagnostic
XLH héréditaire